Loading...

Skip to main content
Call us at +1-800-604-9114 for more information about our products or contact us online Need help? +1-800-604-9114 or contact us
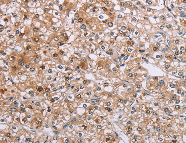
product-image-AAA166666_IHC11.jpg IHC (Immunohistochemisry) (Immunohistochemistry of paraffin-embedded Human prostate cancer using ETFB Polyclonal Antibody at dilution of 1:50)

Rabbit ETFB Polyclonal Antibody | anti-ETFB antibody

ETFB Polyclonal Antibody

Gene Names
ETFB; MADD; FP585
Reactivity
Human, Mouse, Rat
Applications
Immunohistochemistry, Western Blot, ELISA
Purity
Antigen affinity purification
Synonyms
ETFB, Antibody; ETFB Polyclonal Antibody; MADD; FP585; anti-ETFB antibody
Ordering
For Research Use Only!
Host
Rabbit
Reactivity
Human, Mouse, Rat
Clonality
Polyclonal
Isotype
IgG
Purity/Purification
Antigen affinity purification
Concentration
2.9mg/mL (varies by lot)
Sequence Length
255
Applicable Applications for anti-ETFB antibody
IHC (Immunohistochemistry), WB (Western Blot), ELISA
Immunogen
Synthetic peptide of human ETFB
Buffer
PBS with 0.05% sodium azide, 50% glycerol, pH7.3
Preparation and Storage
Store at -20 degree C (regular) and -80 degree C (long term). Avoid freeze / thaw cycles.

IHC (Immunohistochemisry)

(Immunohistochemistry of paraffin-embedded Human prostate cancer using ETFB Polyclonal Antibody at dilution of 1:50)

product-image-AAA166666_IHC11.jpg IHC (Immunohistochemisry) (Immunohistochemistry of paraffin-embedded Human prostate cancer using ETFB Polyclonal Antibody at dilution of 1:50)

IHC (Immunohiostchemistry)

(Immunohistochemistry of paraffin-embedded Human brain using ETFB Polyclonal Antibody at dilution of 1:50)

product-image-AAA166666_IHC13.jpg IHC (Immunohiostchemistry) (Immunohistochemistry of paraffin-embedded Human brain using ETFB Polyclonal Antibody at dilution of 1:50)

WB (Western Blot)

(Western Blot analysis of LoVo and Hela cell using ETFB Polyclonal Antibody at dilution of 1:200)

product-image-AAA166666_WB15.png WB (Western Blot) (Western Blot analysis of LoVo and Hela cell using ETFB Polyclonal Antibody at dilution of 1:200)
Related Product Information for anti-ETFB antibody
This gene encodes electron-transfer-flavoprotein, beta polypeptide, which shuttles electrons between primary flavoprotein dehydrogenases involved in mitochondrial fatty acid and amino acid catabolism and the membrane-bound electron transfer flavoprotein ubiquinone oxidoreductase. The gene deficiencies have been implicated in type II glutaricaciduria. Alternatively spliced transcript variants have been found for this gene.

NCBI and Uniprot Product Information

NCBI GI #
NCBI GeneID
UniProt Accession #
Molecular Weight
37,434 Da
NCBI Official Full Name
ETFB
NCBI Official Synonym Full Names
electron-transfer-flavoprotein, beta polypeptide
NCBI Official Symbol
ETFB
NCBI Official Synonym Symbols
MADD; FP585
NCBI Protein Information
electron transfer flavoprotein subunit beta; beta-ETF; electron transfer flavoprotein beta subunit; electron transfer flavoprotein beta-subunit; electron transfer flavoprotein, beta polypeptide; electron-transferring-flavoprotein, beta polypeptide
UniProt Protein Name
Electron transfer flavoprotein subunit beta
UniProt Gene Name
ETFB
UniProt Synonym Gene Names
Beta-ETF
UniProt Entry Name
ETFB_HUMAN

Similar Products

Product Notes

The ETFB etfb (Catalog #AAA166666) is an Antibody produced from Rabbit and is intended for research purposes only. The product is available for immediate purchase. The ETFB Polyclonal Antibody reacts with Human, Mouse, Rat and may cross-react with other species as described in the data sheet. AAA Biotech's ETFB can be used in a range of immunoassay formats including, but not limited to, IHC (Immunohistochemistry), WB (Western Blot), ELISA. Researchers should empirically determine the suitability of the ETFB etfb for an application not listed in the data sheet. Researchers commonly develop new applications and it is an integral, important part of the investigative research process. It is sometimes possible for the material contained within the vial of "ETFB, Polyclonal Antibody" to become dispersed throughout the inside of the vial, particularly around the seal of said vial, during shipment and storage. We always suggest centrifuging these vials to consolidate all of the liquid away from the lid and to the bottom of the vial prior to opening. Please be advised that certain products may require dry ice for shipping and that, if this is the case, an additional dry ice fee may also be required.

Precautions

All products in the AAA Biotech catalog are strictly for research-use only, and are absolutely not suitable for use in any sort of medical, therapeutic, prophylactic, in-vivo, or diagnostic capacity. By purchasing a product from AAA Biotech, you are explicitly certifying that said products will be properly tested and used in line with industry standard. AAA Biotech and its authorized distribution partners reserve the right to refuse to fulfill any order if we have any indication that a purchaser may be intending to use a product outside of our accepted criteria.

Disclaimer

Though we do strive to guarantee the information represented in this datasheet, AAA Biotech cannot be held responsible for any oversights or imprecisions. AAA Biotech reserves the right to adjust any aspect of this datasheet at any time and without notice. It is the responsibility of the customer to inform AAA Biotech of any product performance issues observed or experienced within 30 days of receipt of said product. To see additional details on this or any of our other policies, please see our Terms & Conditions page.

Item has been added to Shopping Cart

If you are ready to order, navigate to Shopping Cart and get ready to checkout.

Submit a Question

Please complete the form below and a representative will contact you as soon as possible.

Request more Information

Please complete the form below and a representative will contact you as soon as possible.

Request a Manual

Please complete the form below and a representative will contact you as soon as possible.

Request a Quote

Please complete the form below and a representative will contact you as soon as possible.